Un outil d'intelligence artificielle (IA) utilisé dans une étude danoise publiée dans la Revue Radiology pour interpréter des radiographies pulmonaires s'est avéré efficace pour exclure une pathologie. Il a présenté des taux d'échec critiques sur les radiographies pulmonaires égaux ou inférieurs à ceux des radiologues, ses erreurs se révélant plus graves cliniquement.
Les développements récents de l’IA font l’objet d’un intérêt croissant de la part des gestionnaires de centres d’imagerie, en particulier sur le champ de la radiologie diagnostique de projection en routine. C’est ainsi que les radiographies pulmonaires réalisées sans étiologie particulière, qui sont très nombreuses et à faible valeur ajoutée pour les radiologues, pourraient être gérées par l’IA et ainsi améliorer le flux de travail en fournissant un compte rendu automatique.
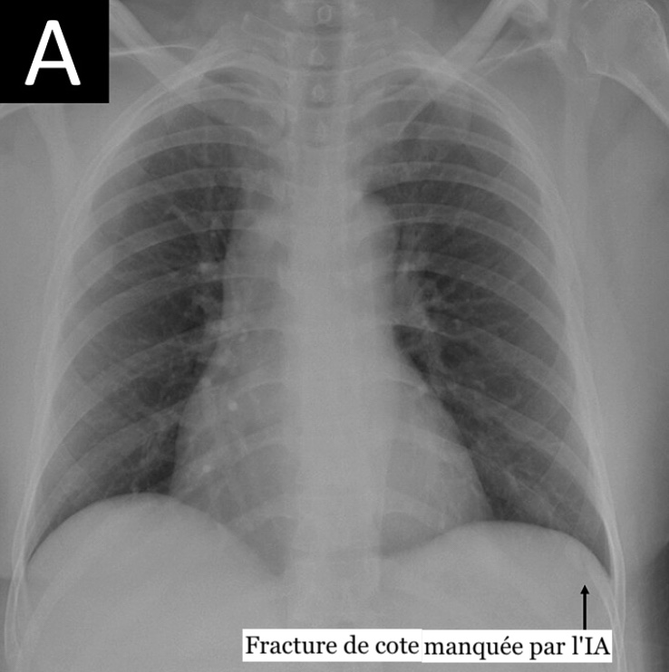
Une étude à grande échelle pour comparer le diagnostic de l’IA et celui des radiologues
Des chercheurs danois ont initié une étude, publiée dans la Revue Radiology, qui a pour but d'estimer la proportion de radiographies pulmonaires de base où l'IA pourrait exclure correctement une pathologie sans augmenter les erreurs de diagnostic. Ils ont pris en compte des comptes rendus radiologiques et des données images de 1 961 patients (âge médian 72 ans ; 993 femmes), une radiographie pulmonaire ayant été réalisée par patient dans quatre hôpitaux danois.
En vous abonnant à Thema Radiologie, vous débloquez l’accès à l’ensemble de nos contenus premium : dossiers thématiques, tribunes d’experts, analyses technologiques, interviews et décryptages réglementaires.
Profitez de 15 jours d'essai gratuit pour découvrir tous nos contenus premium !
Déjà abonné ? Connectez-vous pour débloquer cet article.


Microsoft vient d’annoncer la disponibilité en France de Microsoft Dragon Copilot, un assistant clinique IA conçu pour simplifier la documentation, faciliter la recherche d’informations et automatiser des tâches.
08/10/2025 -

Le programme Ségur Vague 2 pour l’imagerie connaît aujourd’hui son premier point d’étape avec l’enregistrement définitif des candidats au référencement RIS et DRIMbox. Nous avons rencontré Jean-Marc Chevilley, Directeur de Projet au sein de la Délégation au Numérique en Santé, qui est le pilote prin...
07/10/2025 -

Depuis la publication de l'AI Act, l'écosystème de l’imagerie médicale doit se préparer à évoluer, notamment pour gérer le consentement et l’opposition des patients. L'équipe de Dr Data a mis à disposition son expertise en protection des données de santé pour construire une solution et des processus...
04/10/2025 -
Le médecin-chercheur Eric J. Topol et le spécialiste en IA de Harvard, Pranav Rajpurkar plaident en faveur d'une séparation claire des rôles entre les systèmes d'IA et les radiologues dans un éditorial publié dans la Revue Radiology. Ils proposent un cadre que les radiologues doivent adapter à leurs...
28/08/2025 -

Gleamer, acteur française de l’IA médicale, a lancé en juillet dernier sa suite OncoView destinée à assister les radiologues dans la détection précoce du cancer par densitométrie (TDM).
22/08/2025 -

Gleamer a annoncé, le 10 Juillet 2025, la signature d’un partenariat stratégique avec le réseau France Imageries Territoires (FIT) pour le déploiement des solutions Gleamer Copilot® dans l’ensemble des centres d’imagerie du réseau FIT.
29/07/2025 -


Les grands modèles de langage multimodaux seraient-ils capables de réaliser des comptes rendus radiologiques ? Des résultats d’essais contradictoires troublent le ressenti sur les possibilités de GPT-4V, un modèle qui se concentre uniquement sur la précision diagnostique. Une étude publiée dans la R...
21/07/2025 -
Ne manquez aucune actualité en imagerie médicale et radiologie !
Inscrivez-vous à notre lettre d’information hebdomadaire pour recevoir les dernières actualités, agendas de congrès, et restez informé des avancées et innovations dans le domaine.