
Le traitement du cancer métastatique de la prostate se fait désormais par injection intraveineuse de 177Lu-PSMA. Il s’agit d’une avancée majeure contre ce cancer de la prostate métastatique, selon une cure intraveineuse toutes les six semaines avec un suivi spécifique indispensable et avec une émission de rayonnements γ qui permettent le suivi de la dose administrée par scintigraphie.
Le cancer de la prostate, notamment, le cancer de la prostate métastatique résistant à la castration (mCRPC) présente un défi thérapeutique important. Le diagnostic de cette pathologie, ainsi que l’arsenal thérapeutique pour la combattre, se fait désormais par la radiothéranostique de l’antigène membranaire spécifique de la prostate (PSMA) en médecine nucléaire. La Revue Radiographics vient de publier un article qui fait le point sur l’état de l’art dans la prise en charge moderne du cancer de la prostate. Il annonce en préambule que, jusqu'en 2010, le docétaxel était la seule option disponible pour gérer les patients atteints de mCRPC, qui est caractérisé par une surexpression, une amplification et des mutations du récepteur aux androgènes.
L’injection de 177Lu-PSMA, une avancée majeure contre le cancer de la prostate métastatique
Suite à la mise en place de divers essais cliniques, dont l’essai VISION, la Food and Drug Administration (FDA) a approuvé l'agent thérapeutique 177Lu-PSMA, en mars 2022, pour les patients ayant progressé après un traitement par une chimiothérapie. La cible moléculaire est le PSMA, qui est fortement exprimé dans plus de 80 % des cas de cancer de la prostate. Le TEPScan diagnostique ciblant le PSMA est utilisé pour confirmer l’expression du PSMA et évaluer l’adéquation au traitement.
En vous abonnant à Thema Radiologie, vous débloquez l’accès à l’ensemble de nos contenus premium : dossiers thématiques, tribunes d’experts, analyses technologiques, interviews et décryptages réglementaires.
Profitez de 15 jours d'essai gratuit pour découvrir tous nos contenus premium !
Déjà abonné ? Connectez-vous pour débloquer cet article.


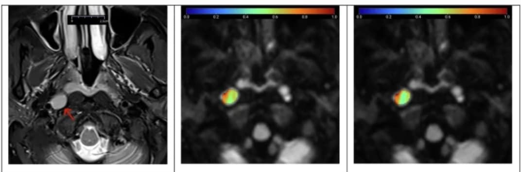
Distinguer les ganglions lymphatiques cervicaux bénins et métastatiques par IRM conventionnelle n’est pas facile. Une étude publiée dans la Revue European Radiology tente de différentier les ganglions lymphatiques bénins et métastatiques en combinant de nouveaux modèles d’IRM de diffusion et leurs c...
20/10/2025 -

La société parisienne PAIRE, acteur innovant de l’intelligence artificielle en médecine nucléaire, annonce l’intégration de son assistant IA Pionus dans les principaux logiciels d’interprétation utilisés par les médecins nucléaires.
10/09/2025 -
Telix a annoncé, le 30 Avril 2025, l’autorisation de mise sur le marché (AMM) en France de son agent d’imagerie TEP pour le cancer de la prostate, Illuccix® (kit pour la préparation d'une injection de gozetotide gallium-68).
06/05/2025 -

Dans le cadre du centenaire de la Radiological Society of North America (RSNA), deux éditoriaux ont été rédigés par des sommités internationales qui décrivent ce que peut être l’avenir de la radiologie. Pour le Pr Umar Mahmood, grâce à la capacité de caractériser la maladie de manière non invasive à...
20/12/2023 -

Une étude récente publiée dans l'American Journal of Roentgenology (AJR), se propose de comparer les résultats diagnostiques d'une biopsie prostatique guidée à une prostatectomie radicale. Les chercheurs n’ont pas trouvé de différences significatives les examens IRM interprétés cliniquement à l'aide...
26/09/2023 -
La sélection des lésions tumorales osseuses sclérotiques à biopsier sous tomodensitométrie est assez complexe dans le cadre de l’oncologie personnalisée. Une étude publiée dans l’European Journal of Radiology propose des pistes d’optimisation de cette procédure pour aboutir à des résultats pertinent...
19/10/2022 -
Selon une étude publiée dans l'American Journal of Roentgenology (AJR), l’imagerie moléculaire du sein peut aider à évaluer le degré de malignité d’une lésion mammaire. Les chercheurs suggèrent d’intégrer dans le référentiel BI-RADS ces nouvelles données.
10/08/2022 -
Ne manquez aucune actualité en imagerie médicale et radiologie !
Inscrivez-vous à notre lettre d’information hebdomadaire pour recevoir les dernières actualités, agendas de congrès, et restez informé des avancées et innovations dans le domaine.