Dans un souci d’efficience dans l’annonce de la pathologie de COVID-19 et de réduction de l’anxiété des correspondants et des patients, les principales sociétés savantes américaines ont élaboré un document de consensus. Un modèle de compte rendu structuré a fait l’objet d’un consensus.
La Radiological Society of North America (RSNA) a publié, le 25 mars 2020, une déclaration de consensus d'experts sur l’annonce des résultats de scanner thoracique liés au COVID-19. Cette déclaration est approuvée par le RSNA, l'American College of Radiology (ACR) et la Society of Thoracic Radiology (STR).
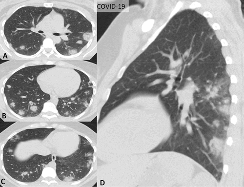
Une forte augmentation des scanners thoraciques dans un contexte de pandémie de COVID-19
"Nous pensons qu'il est important de fournir aux radiologues et aux prestataires de référence des conseils et de la confiance dans la communication de ces résultats ainsi qu’un cadre plus cohérent pour améliorer la clarté des comptes rendus, a déclaré le Dr Suhny Abbara, rédacteur en chef de Radiology: Cardiothoracic Imaging et professeur de radiologie et chef de l’unité d'imagerie cardiothoracique. au UT Southwestern Medical Center à Dallas, Texas. Une communication claire fondée sur des preuves entre les fournisseurs de soins de santé est impérative pour améliorer les soins aux patients pendant cette pandémie."
Bien que la tomodensitométrie de dépistage de routine pour l'identification de la pneumonie au COVID-19 ne soit actuellement pas recommandée par la plupart des sociétés de radiologie, le nombre de scanners pratiqués chez les patients suspectés de COVID-19 a augmenté. Certains patients attribuent leur âthologie à la pneumonie au COVID-19, obligeant les radiologistes à mentionner spécifiquement le COVID-19 comme possibilité de diagnostic différentiel.
Un consensus pour l'élaboration d'un modèle de compte rendu structuré
La pneumonie au COVID-19, qui a un taux de mortalité élevé chez les personnes âgées et celles atteintes de diabète, d'hypertension et d'autres comorbidités, se propage rapidement dans les communautés. Par conséquent, l'inclusion fréquente du « COVID-19 » dans le compte rendu de radiologie pourrait déclencher une cascade d'événements incluant des mesures de contrôle des infections et de l'anxiété pour le clinicien et le patient. De plus, les caractéristiques au scanner du COVID-19 peuvent s’agréger de manière significative à d'autres causes de lésions pulmonaires aiguës et de pneumonie, ce qui complique les interprétations.
La déclaration de consensus, élaborée par des experts de neuf centres médicaux universitaires des États-Unis, vise à aider les radiologues à reconnaître les résultats de la pneumonie au COVID-19 et à fournir des conseils sur l’annonce des résultats du scanner potentiellement associés au COVID-19, à travers notamment un langage normalisé pour réduire la variabilité des comptes rendus. Un langage d’annonce normalisé améliorera certainement la communication avec les prestataires référents et réduire l'anxiété dans la prise en charge des patients pendant la pandémie.
Le document de la RSNA traite, d’autre part, du rôle potentiel du scanner dans la lutte contre le COVID-19, les paramètres pour le compte rendu structuré, ainsi que les avantages ou les limites de l'adoption de cette stratégie. Étant donné que les modèles de pratique peuvent varier selon l'institution, ce document est destiné à servir de guide. Les auteurs recommandent que les radiologues consultent leurs collègues cliniciens dans leurs établissements pour établir une approche de compte rendu consensuelle.

La santé écoresponsable est une notion qui s’installe progressivement dans les esprits soignants. Dans ce contexte, le Shift project lance une grande consultation auprès des professionnels de santé, en particulier des médecins, sur les liens entre santé, climat et énergie.
17/03/2026 -

À la suite de la décision du Ministère de la Santé de réaliser une transformation profonde de l’Agence Nationale du Développement Professionnel Continu (ANDPC), les professionnels de cette agence ont réagi par un communiqué de leur Conseil Social d’Administration (CSA) publié le 25 Novembre 2025.
16/12/2025 -

La radiologie française navigue à vue en ces temps troublés de crise politique. Alors que le Dr Masson qualifie de « plan intellectuellement malhonnête qui repose sur les baisses tarifaires des forfaits techniques » les préconisations de l’IGAS, la grève du 1er octobre devrait être correctement suiv...
26/09/2025 -
La recherche médicale, à bout de souffle, a besoin d’expérimenter des méthodologies alternatives utilisant l’IA générative pour répondre aux besoins croissants de l’innovation thérapeutique. L’Alliance française SILICA œuvre aujourd’hui pour convaincre les agences françaises et les institutions euro...
10/06/2025 -

Des chercheurs ont découvert que, comparativement au cancer du sein détecté par les symptômes, les patientes atteintes d'un cancer du sein détecté par mammographie de dépistage systématique sont plus susceptibles d'obtenir de meilleurs résultats cliniques. Ils ont décrit les résultats de leur enquêt...
03/06/2025 -

Le Comité sur la sécurité de l’IRM de l’ACR vient d’élaborer une mise à jour des guidelines pour une utilisation sûre de l’IRM et l’a publié dans la Revue Radiology. Un rappel y est fait sur les contraintes classiques liées à la sécurité des patients, du personnel et des participants aux recherches...
14/04/2025 -


Des controverses existent sur le suivi des patientes présentant des antécédents de cancer du sein, dans un contexte de baisse de l’observance. Dans un article publié dans la Revue RadioGraphics, deux chercheuses américaines cherchent à déterminer le bon intervalle entre les dépistages ainsi que le m...
31/03/2025 -
Ne manquez aucune actualité en imagerie médicale et radiologie !
Inscrivez-vous à notre lettre d’information hebdomadaire pour recevoir les dernières actualités, agendas de congrès, et restez informé des avancées et innovations dans le domaine.