Dans une nouvelle recherche publiée le 20 février 2020 dans la revue Radiology, des chercheurs du Mount Sinai Health System de New York ont démontré que les images scanographiques dans les cas de coronavirus 19 (COVID-19) sont liées à l'évolution de l'infection.
Dans une étude rétrospective réalisée au Mount Sinai Health System de New York et publiée dans la Revue Radiology, des TDM thoraciques de 121 patients symptomatiques infectés par la maladie à coronavirus-19 (COVID-19) provenant de quatre centres en Chine du 18 janvier 2020 au 2 février 2020 ont été examinés. Cette étude s'appuie sur les travaux initiaux des premiers chercheurs au cours des premières semaines de l'épidémie en évaluant un plus grand nombre de patients ainsi qu'en examinant les imagers caractéristiques de la maladie dans la phase plus subaiguë et / ou à un stade plus précoce, avec une vigilance accrue pour la détection.
Une étude sur des patients venus de quatre régions de Chine
En plus de l'âge et du sexe, les informations cliniques recueillies comprenaient les antécédents de voyage et d'exposition (lorsqu'ils sont connus). Tous les patients étaient positifs au COVID-19 via des tests de laboratoire avec une réaction en chaîne de la polymérase transcriptase inverse en temps réel (rRT-PCR). De plus, le nombre de tests rRT-PCR effectués sur chaque patient a été comparé au nombre de jours entre le début des symptômes et la date du premier test positif. Vingt-deux patients venaient de Nanchang (province du Jiangxi) et ont été explorés au scanner sur des coupes de 8 mm d’épaisseur, soixante-neuf venaient de Zhuhai (province du Guangdong) et ont subi une TDM de 1mm d'épaisseur, vingt-deux patients venaient de Chengdu (province du Sichuan) et ont été explorés avec des coupes d’1mm d'épaisseur et enfin huit patients venaient de Guilin (province du Guangxi) et ont été imagés aussi avec des coupes d’1 mm d’épaisseur. Toutes les analyses ont été réalisées sans injection en décubitus dorsal et en inspiration.
Au total, 61 hommes et 60 femmes d’âge moyen de 45,3 ans (tranche d'âge 18 - 80 ans avec un écart type de 16 ans) ont été explorés. 27 (22%) n'avaient aucune opacité en verre dépoli et aucune consolidation au scanner thoracique. Sur les 94 patients présentant de telles opacités, 41 (34%) n'avaient que des opacités en verre dépoli (sans consolidation), et deux patients (2%) avaient une consolidation opacité en verre dépoli. Dix-huit patients (15%) avaient des opacités dans un lobe, 14 patients (12%) avaient deux lobes affectés, 11 patients (9%) avaient trois lobes affectés, 18 patients (15%) avaient quatre lobes affectés et 33 patients (27 %) avaient une maladie affectant les cinq lobes. Soixante-treize des 121 patients (60%) avaient une maladie pulmonaire bilatérale.
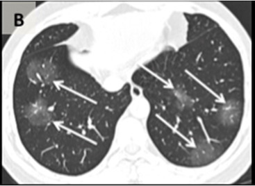
Des images scanographiques différentes selon le stade de la maladie
Le temps entre l'apparition initiale des symptômes et la TDM thoracique était connu pour 94 patients et estimé comme précoce (0-2 jours), intermédiaire (3-5 jours) ou tardif (6-12 jours). La fréquence des opacités et de la consolidation
du verre dépoli était bien moindre dans le groupe précoce par rapport aux groupes intermédiaire et tardif. Une atteinte pulmonaire bilatérale a été observée chez 10 des 36 patients précoces (28%), 25 des 33 patients intermédiaires (76%) et 22 des 25 patients en retard (88%). Les opacités linéaires, un motif de pavage fou » et un signe de « halo inversé » étaient tous absents dans le premier groupe, mais étaient présents dans le dernier groupe. D’autre part, une distribution périphérique a été trouvée chez 8 des 36 patients précoces (22%), 21 des 33 patients intermédiaires (64%) et 18 des 25 des patients tardifs (72%).
Les chercheurs ont tout de même trouvé plusieurs limites à leur étude. Tout d’abord, certains patients n'ont pas pu être inclus dans l'évaluation en raison d'histoires cliniques incomplètes où le moment précis de l'apparition des symptômes était inconnu. Ensuite, certains patients peuvent avoir reçu une un traitement pour prévenir ou soigner une infection. Enfin, il peut y avoir eu un biais de sélection des patients explorés par TDM dans les établissements.
Écoutez le postcast du Rédacteur en chef de la Revue Radiology au sujet du COVID-19 ICI.

Détecter le cancer de l’ovaire plus tôt fait partie des objectifs de la communauté scientifique pour en améliorer le pronostic. Dans un article publié dans la Revue European Radiology, le référentiel IRM O-RADS est présenté comme la base de la stratification du risque pour cette pathologie. Une pris...
12/05/2025 -

Que pouvons-nous retirer de l’expérience de la pandémie de Covid-19 pour les patients atteints de pathologies respiratoires ? Un travail de l’IRDES sur les patients atteints de BPCO et de cancer pulmonaire durant cette période fait état de taux de mortalité élevés pour les patients atteints de BPCO...
02/05/2025 -
La radiothérapie dispensée pour le cancer de la prostate est responsable d’effets secondaires urinaires à long terme. C’est ce que rapporte l’essai PROTOX, qui identifie des caractéristiques génétiques qui favoriseraient ces effets secondaires. Une étude récente publiée dans Clinical Cancer Research...
09/04/2025 -
Median Technologies a publié, le 31 Mars 2025, les résultats finaux de l’étude pivot RELIVE, qui confirment et complètent les premiers résultats annoncés le 3 Février 2025 à propos d’eyonis™, une suite de logiciels dispositifs médicaux basés sur l’IA pour le diagnostic précoce du cancer.
03/04/2025 -
La plateforme d’achat de dispositifs médicaux UniHA vient de renouveler son marché de prestations concernant le parc d’échographes. Il s’agit de proposer aux hôpitaux une solution permettant aux établissements de santé de bénéficier d’équipements adaptés à leurs besoins spécifiques.
17/03/2025 -

L’imagerie thoracique à la pointe de l’intelligence artificielle. C’est le message que font passer des chercheurs coréens dans un article publié dans la Revue Radiology. Ils listent les applications de cette technologie, comme l’interprétation assistée par l’IA et dépistage opportuniste des maladies...
07/03/2025 -

Dans une étude publiée dans l'American Journal of Roentgenology (AJR), le temps de doublement du volume des adénocarcinomes pulmonaires réséqués a fait l’objet d’un travail approfondi. Les chercheurs ont indiqué qu’une période de moins de 200 jours était significativement corrélée à la fois à la sur...
18/02/2025 -
Ne manquez aucune actualité en imagerie médicale et radiologie !
Inscrivez-vous à notre lettre d’information hebdomadaire pour recevoir les dernières actualités, agendas de congrès, et restez informé des avancées et innovations dans le domaine.