Philips a inauguré, le 30 novembre 2018 au centre LUMEN de Lyon, l’un des plus importants centres de médecine nucléaire en France, un nouveau TEP Scan Philips Vereos. L’arrivée de ce nouvel équipement 100 % numérique est un réel avantage pour les patients. Une détection des tumeurs à l’échelle du millimètre est désormais possible, avec une réduction de 50 %de la dose de traceur radioactif injecté au patient.
L'imagerie TEP va devenir la principale modalité de diagnostic moléculaire et de traitement personnalisé dans les années à venir. C’est pourquoi Philips a décidé d’investir dans le développement de la nouvelle technologie TEP-scan vereos. Cette modalité est 100% numérique, dotée de la technologie Comptage Photonique Numérique (Digital Photon Counting), brevet Philips, associant une sensibilité inédite, une meilleure résolution d’image et une précision quantitative améliorée par rapport aux systèmes analogiques.
L’acquisition de cette nouvelle machine par le Centre LUMEN, qui regroupe les unités de médecine nucléaire du Centre Léon Bérard et de l'Hôpital Édouard Herriot, s’accompagne d’une collaboration scientifique entre Philips et l’équipe de recherche en radiothérapie du Centre Léon Bérard. L’équipe dirigée par David Sarrut, en lien avec Jean-Noël Badel, radiophysicien et chercheur, conduira deux études, l’une sur l’utilisation de ce nouveau TEP scan en radiothérapie externe (4D pour la stéréotaxie), l’autre en radiothérapie interne (dosimétrie post-radio-embolisation). Pour cela, des simulations dites « Monte Carlo » ainsi que des techniques de machine learning seront explorées.
La technologie numérique Philips de comptage photonique convertit directement la lumière en signal numérique. Presque aucun bruit ne s’étant introduit lors de cette conversion, on obtient un meilleur rapport signal-bruit et une plus grande sensibilité. De plus, si l’on associe à cela une résolution temporelle élevée (temps de vol), on améliore le contraste d’image, ce qui facilite la détection des lésions et le diagnostic du médecin avec des doses radioactives injectées très faibles.


Un article pluridisciplinaire publié dans la Revue European Radiology explore les opportunités offertes par le TEP/TDM et l’IRM corps entier pour l’exploration du cancer avancé de la prostate. Cette revue systématique de la littérature mondiale sur le sujet évoque notamment des discordances dans l’é...
17/04/2026 -


Les variabilités pathologiques de la maladie d’Alzheimer ne permettent pas d’établir un modèle d’interprétation des TEP réalisées pour explorer cette pathologie. Une étude publiée dans la Revue Radiology expérimente un réseau d’apprentissage par décomposition antagoniste dans ce cadre. Les chercheur...
10/04/2026 -


Une augmentation du volume tumoral post immunothérapie, qui peut constituer une pseudo-progression, n’est pas forcément péjorative. Il est nécessaire alors d’identifier des biomarqueurs d’imagerie capables d’évaluer précisément les réponses thérapeutiques. Une étude publiée dans la Revue European Ra...
25/02/2026 -

Le réseau Vidi vient d’annoncer une étape majeure de son développement. Il vient d’intégrer, en effet, le premier groupe de médecine nucléaire, en plus des groupes de radiologie et de radiothérapie.
24/02/2026 -

Le programme de recherche hospitalo-universitaire (RHU) OPERANDI, promu par le CHU de Nantes, met en œuvre trois études qui s’intéressent directement au carcinome hépatocellulaire et aux tumeurs neuro-endocrines gastro-entéro-pancréatiques.
04/02/2026 -


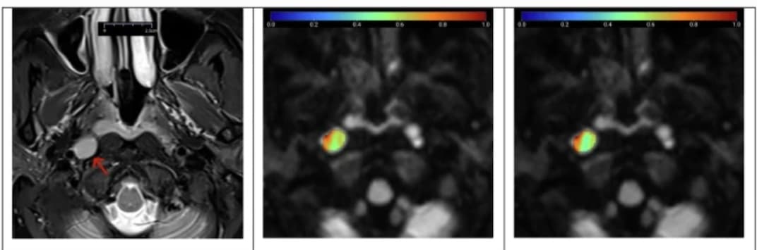
Distinguer les ganglions lymphatiques cervicaux bénins et métastatiques par IRM conventionnelle n’est pas facile. Une étude publiée dans la Revue European Radiology tente de différentier les ganglions lymphatiques bénins et métastatiques en combinant de nouveaux modèles d’IRM de diffusion et leurs c...
20/10/2025 -

La société parisienne PAIRE, acteur innovant de l’intelligence artificielle en médecine nucléaire, annonce l’intégration de son assistant IA Pionus dans les principaux logiciels d’interprétation utilisés par les médecins nucléaires.
10/09/2025 -
Ne manquez aucune actualité en imagerie médicale et radiologie !
Inscrivez-vous à notre lettre d’information hebdomadaire pour recevoir les dernières actualités, agendas de congrès, et restez informé des avancées et innovations dans le domaine.