Quelle technologie radiologique et quels protocoles utiliser pour optimiser l’exploration des anomalies congénitales des voies génitales féminines ? L’European Society of Radiology publie, dans le Journal éponyme, des guidelines résultant d’un consensus continental.
Dans sa série de guidelines à l’attention des radiologues européens, l’European Society of Radiology a publié dans la Revue European Radiology un document destiné à homogénéiser les pratiques dans le bilan IRM des anomalies congénitales des voies génitales féminines (FGTCA).
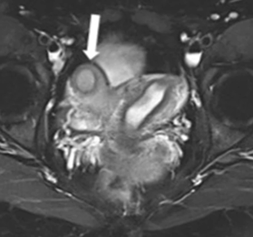
Des pathologies touchant l’utérus, mais pas que…
Ces guidelines ont été réalisées sur la base d'un questionnaire envoyé à tous les membres du groupe de travail sur l'imagerie pelvienne féminine (FPI-WG) de la Société européenne de radiologie urogénitale (ESUR), ainsi que d'une revue critique de la littérature agrémentée d’un consensus d'experts La plupart de ces anomalies affectent l'utérus. Cependant, le spectre des FGTCA est large, englobant des anomalies du col de l'utérus, du vagin, de la vulve et des trompes de Fallope, avec ou sans malformations associées de l'ovaire, des voies urinaires, du squelette ou d'autres organes.
L’IRM comme technologie de base pour cette exploration
Les questionnaires renvoyés par 17 centres d’imagerie médicale européens ont montré des pratiques assez homogènes sur le continent. La plupart des répondants (82%) ne voyaient aucun rôle pour le CT dans l'évaluation de la FGTCA. Certains cependant y voient un rôle dans certains cas, en complément de l'IRM pour caractériser les anomalies rénales associées ou d'autres anomalies de l'abdomen, et occasionnellement en première intention pour suggérer la présence d'une FGTCA, lorsque la TDM est réalisée pour une autre raison.
Tous les protocoles incluent des séquences d’IRM en T1 avec ou sans Fat Sat, toujours en axial avec ajout de plan sagittal quelquefois. De même, des séquences T2 multiplanaires du bassin en orientation strictement axiale, sagittale et / ou coronale sont toujours réalisées, ainsi que des séquences orientées par rapport à l’utérus. Ces dernières sont plus couramment obtenues par une combinaison de vrais coronaux et vrais axiaux du fond et du corps de l'utérus. La séquence 3D-T2 du bassin, permettant le reformatage multiplanaire (MPR) de l'utérus, est quelquefois utilisée bien que cette séquence fasse l’objet d’une qualité de d'image faible.
Le gadolinium très souvent utilisé pour caractériser les anomalies utérines
Trois centres répondant utilisent systématiquement le gadolinium intraveineux pour la caractérisation de la FGTCA, 8 autres en fonction de la question clinique et des résultats sur les séquences initiales et les 6 établissements restant n'utilisent pas de gadolinium. Les indications du gadolinium comprennent sont ici la caractérisation de masses ovariennes ou myométriales, de polypes de l'endomètre, ou de suspicion d'abcès notamment. L'IRM-urographie est ajoutée en cas d'obstruction des voies urinaires dans un établissement.
Les auteurs de cette étude remarquent que les capacités multiplanaires et la bonne résolution pour les tissus mous de l'IRM fournissent une excellente évaluation du large spectre de manifestations radiologiques des FGTCA. Un protocole d'imagerie normalisé et une un compte rendu uniformisé garantissent, dans ce cadre, une mise en lumière de ces résultats, contribuant à un diagnostic et à une classification corrects des FGTCA, des pathologies associées et de leurs complications.


L’échographie de contraste est pertinente pour différentier les tumeurs ovariennes bénignes et malignes. C’est ce que cherche à prouver une étude, publiée dans l’American Journal of Roentgenology (AJR) qui classe les lésions selon les critères O-RADS et des scores CEUS. Cette approche pourrait cont...
20/02/2026 -


La Revue RadioGraphics propose un recueil radiographique de la physiologie de la grossesse et du post-partum, ainsi que de leurs variantes pathologiques. Cet article recommande notamment de ne pas confondre vascularisation myométriale accrue et malformation artério-veineuse au cours de cette transfo...
10/02/2026 -


La Cour des comptes confirme, dans un rapport récent, le taux de participation au dépistage organisé du cancer du sein inférieur à 50%. Elle observe notamment des dépenses de soins qui augmentent plus que le nombre de patientes traitées, ainsi qu’un suivi post-thérapeutique insuffisant par manque de...
02/02/2026 -


La qualité du traitement chirurgical du cancer du sein est conditionnée par l’obtention d’une résection avec marges négatives. Pour évaluer précisément ces marges, l’imagerie thermique peropératoire a un fort potentiel. Un prototype de caméra thermique a été expérimenté pour prédire les résections à...
19/01/2026 -


Un article récent publié dans la Revue RadioGraphics nous propose une revue de l’ensemble des indications d’IRM pelvienne gynécologique. Ce document décrit l’arsenal complet de séquences en T1, T2 et diffusion à utiliser, promeut une approche systématique et progressive de l’évaluation des lésions e...
12/01/2026 -


Les lésions nodulaires malignes mammaires sont jugées comme difficilement standardisées dans BI-RADS. Une étude coréenne publiée dans la Revue Radiology tente de faire une comparaison avec les lésions non tumorales et observe une bonne concordance inter-observateurs pour le classement en lésions neu...
16/12/2025 -


Un modèle d'IA basé uniquement sur l'analyse d'images pour prédire le risque de cancer du sein à cinq ans offre une stratification du risque plus robuste que l'évaluation de la densité mammaire seule. Des chercheuses ont présenté ce modèle, capable d’identifier les changements dans le tissu mammaire...
04/12/2025 -
Ne manquez aucune actualité en imagerie médicale et radiologie !
Inscrivez-vous à notre lettre d’information hebdomadaire pour recevoir les dernières actualités, agendas de congrès, et restez informé des avancées et innovations dans le domaine.