Dans un rapport spécial publié le 4 février 2020 dans la revue Radiology, des chercheurs décrivent les caractéristiques scanographiques qui facilitent la détection et le diagnostic précoces du coronavirus de Wuhan.
« La reconnaissance précoce de la maladie est importante, non seulement pour la mise en œuvre rapide du traitement, mais aussi pour l'isolement des patients et la surveillance efficace de la santé publique, le confinement et la réponse », a déclaré l'auteur principal d’une étude publiée le 4 février 2020 dans la Revue Radiology, le Dr Michael Chung, professeur adjoint au Département de diagnostic, interventionnel et radiologie moléculaire au Mount Sinai Health System à New York.
Une étude incluant 21 patients infectés par le Coronavirus en Chine
Le 31 décembre 2019, l'Organisation mondiale de la santé (OMS) a été informée de plusieurs cas de maladie respiratoire ressemblant cliniquement à une pneumonie virale et se manifestant par de la fièvre, de la toux et un essoufflement. Le virus récemment découvert qui provient de la ville de Wuhan, dans la province chinoise du Hubei, a été temporairement nommé « nouveau coronavirus » (2019-nCoV). Celui-ci appartient à une famille de virus qui comprennent le syndrome respiratoire aigu sévère (SRAS) et le syndrome respiratoire du Moyen-Orient (MERS).
Dans cette série de cas rétrospective, le Dr Chung et ses collègues ont entrepris de caractériser les principaux résultats de la tomodensitométrie (TDM) thoracique dans un groupe de patients infectés par le nCoV 2019 en Chine dans le but de familiariser les radiologues et les équipes cliniques avec les images de cette nouvelle épidémie. Du 18 au 27 janvier 2020, 21 patients admis dans trois hôpitaux de trois provinces en Chine avec une infection confirmée au nCoV 2019 ont subi une TDM thoracique. Les 21 patients se composaient de 13 hommes et 8 femmes âgés de 29 à 77 ans, avec un âge moyen de 51,2 ans. Tous les patients ont été confirmés positifs pour l'infection via des tests de laboratoire des sécrétions respiratoires.
Une procédure d’exploration tomodensitométrique complète et formalisée
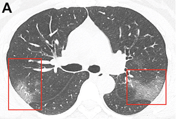
Pour chacun des 21 patients, le scanner a été évalué pour la présence d'opacités en verre dépoli ou de consolidation, le nombre de lobes affectés par ces opacités en verre dépoli ou consolidation, le degré d'implication du lobe en plus du score de gravité pulmonaire, la présence de nodules, d'un épanchement pleural, d'une lymphadénopathie thoracique et d'une maladie pulmonaire sous-jacente telle que l'emphysème ou la fibrose. Toute autre anomalie thoracique a également été notée. L'analyse a montré que le 2019-nCoV se manifeste généralement sur la TDM avec un verre dépoli bilatéral et des opacités pulmonaires consolidantes. Les opacités nodulaires et une distribution périphérique de la maladie peuvent être des caractéristiques supplémentaires utiles au diagnostic précoce. Les chercheurs ont également noté que la cavitation pulmonaire, les nodules pulmonaires discrets, les épanchements pleuraux et la lymphadénopathie sont généralement absents dans les cas de 2019-nCoV.
Des images pathologiques apparaissant souvent dans un deuxième temps
L'imagerie de suivi chez sept des huit patients a montré une progression légère ou modérée de la maladie, se manifestant par l'augmentation de l'étendue et de la densité des opacités de l'espace aérien. Le Dr Chung a averti que l'absence de résultats CT anormaux lors de l'examen initial n'exclut pas la présence de 2019-nCoV. « Notre population de patients est unique par rapport aux autres séries publiées sur le coronavirus de Wuhan, a-t-il précisé. Trois de nos patients ont en effet fait l’objet de TDM thoraciques initiales normales. L'un de ces patients a réagi trois jours plus tard et a développé une lésion nodulaire en verre dépoli solitaire dans le lobe inférieur droit, indiquant que ce schéma peut représenter la toute première manifestation radiologiquement visible de la maladie chez certains patients infectés par le coronavirus de Wuhan. »
Plusieurs jours d’incubation pour un virus parfois non parlant précocement au scanner
Il a ajouté qu'un deuxième patient avait un scanner thoracique de suivi normal quatre jours après son examen d'imagerie normal initial. « Cela suggère que la TDM thoracique manque de sensibilité complète et n'a pas une valeur prédictive négative parfaite, a-t-il poursuivi. Nous ne pouvons pas compter uniquement sur la TDM pour exclure totalement la présence du virus. » Cette constatation peut être liée au fait que l'infection par le 2019-nCoV se caractérise par une période d'incubation de plusieurs jours et il peut y avoir une phase où l'infection virale se manifeste par des symptômes avant que des anomalies soient visibles au scanner.
Les chercheurs notent qu'une étude plus approfondie est nécessaire pour comprendre comment les patients s'en sortent après le traitement, mais suggèrent que l'expérience et les résultats d'imagerie des épidémies de MERS et de SRAS pourraient être utiles dans la gestion de l'épidémie actuelle.

La santé écoresponsable est une notion qui s’installe progressivement dans les esprits soignants. Dans ce contexte, le Shift project lance une grande consultation auprès des professionnels de santé, en particulier des médecins, sur les liens entre santé, climat et énergie.
17/03/2026 -

À la suite de la décision du Ministère de la Santé de réaliser une transformation profonde de l’Agence Nationale du Développement Professionnel Continu (ANDPC), les professionnels de cette agence ont réagi par un communiqué de leur Conseil Social d’Administration (CSA) publié le 25 Novembre 2025.
16/12/2025 -

La radiologie française navigue à vue en ces temps troublés de crise politique. Alors que le Dr Masson qualifie de « plan intellectuellement malhonnête qui repose sur les baisses tarifaires des forfaits techniques » les préconisations de l’IGAS, la grève du 1er octobre devrait être correctement suiv...
26/09/2025 -
La recherche médicale, à bout de souffle, a besoin d’expérimenter des méthodologies alternatives utilisant l’IA générative pour répondre aux besoins croissants de l’innovation thérapeutique. L’Alliance française SILICA œuvre aujourd’hui pour convaincre les agences françaises et les institutions euro...
10/06/2025 -

Des chercheurs ont découvert que, comparativement au cancer du sein détecté par les symptômes, les patientes atteintes d'un cancer du sein détecté par mammographie de dépistage systématique sont plus susceptibles d'obtenir de meilleurs résultats cliniques. Ils ont décrit les résultats de leur enquêt...
03/06/2025 -

Le Comité sur la sécurité de l’IRM de l’ACR vient d’élaborer une mise à jour des guidelines pour une utilisation sûre de l’IRM et l’a publié dans la Revue Radiology. Un rappel y est fait sur les contraintes classiques liées à la sécurité des patients, du personnel et des participants aux recherches...
14/04/2025 -


Des controverses existent sur le suivi des patientes présentant des antécédents de cancer du sein, dans un contexte de baisse de l’observance. Dans un article publié dans la Revue RadioGraphics, deux chercheuses américaines cherchent à déterminer le bon intervalle entre les dépistages ainsi que le m...
31/03/2025 -
Ne manquez aucune actualité en imagerie médicale et radiologie !
Inscrivez-vous à notre lettre d’information hebdomadaire pour recevoir les dernières actualités, agendas de congrès, et restez informé des avancées et innovations dans le domaine.