
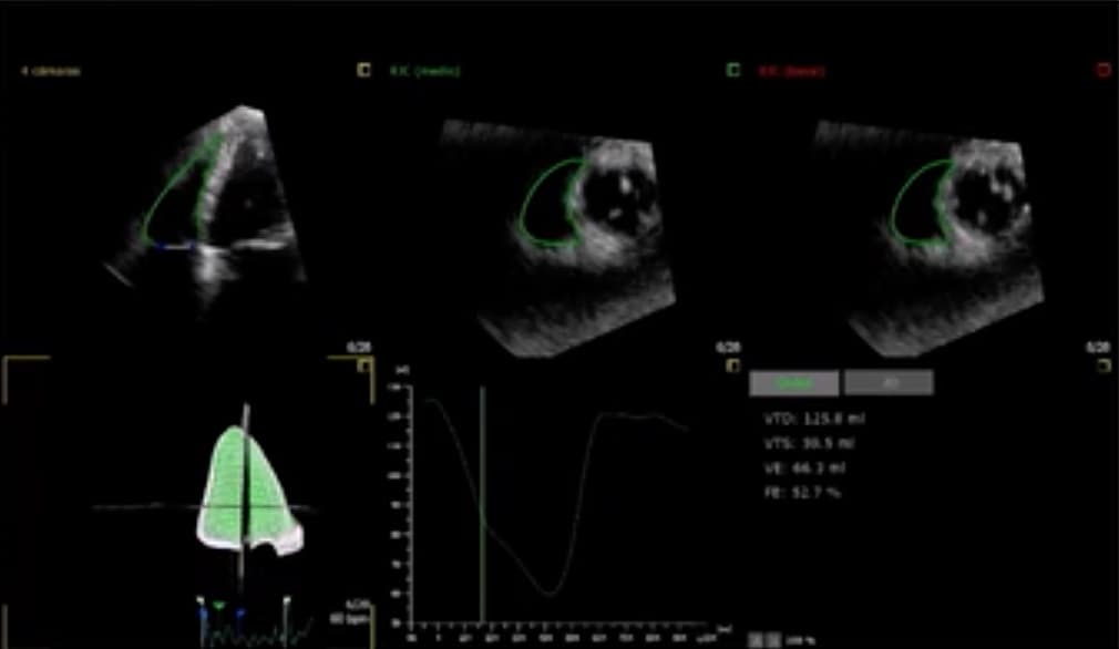
L’IRM fast-tracking est un moyen d’obtenir une meilleure évaluation de la déformation myocardique lors de l’insuffisance cardiaque. Une étude publiée dans la Revue Radiology tente de mieux comprendre la fonction ventriculaire droite dans l’insuffisance cardiaque et identifie la pertinence de l’axe longitudinal pour la prévention de la maladie.
Cet article est réservé aux abonnés. Abonnez-vous pour lire la suite.
En vous abonnant à Thema Radiologie, vous débloquez l’accès à l’ensemble de nos contenus premium : dossiers thématiques, tribunes d’experts, analyses technologiques, interviews et décryptages réglementaires.
Profitez de 15 jours d'essai gratuit pour découvrir tous nos contenus premium !
Déjà abonné ? Connectez-vous pour débloquer cet article.


Un article paru dans l’European Heart Journal décrit les résultats d’une procédure interventionnelle très particulière. Il s'agit du premier cas rapporté de remplacement simultané par voie percutanée des quatre valves.
08/01/2026 -


La plateforme Radcliffe Cardiology a récemment mis en ligne un webinaire dédié à l’insuffisance tricuspidienne. Les experts qui l’animent évoquent les dernières recommandations européennes relatives au diagnostic de régurgitation tricuspidienne ainsi que les procédures thérapeutiques diverses à mett...
05/01/2026 -

L’European Society of Radiology (ESR), qui représente plus de 149 000 radiologues et professionnels de l’imagerie médicale à travers le monde, se félicite du lancement du Plan Cœurs Sains – Safe Hearts Plan - annoncé par la Commission européenne le 16 décembre 2025.
29/12/2025 -


La radiographie et la TDM thoraciques sont souvent limitées pour diagnostiquer un petit pneumothorax. Une étude publiée dans la Revue Radiology : Cardiothoracic imaging expérimente les particularités physiques de la radiographie à fond noir pour évaluer sa sensibilité au pneumothorax. Les chercheurs...
23/12/2025 -


L’Europe est à la traîne dans la course au dépistage du cancer du poumon par TDM low dose, mais les experts de la société européenne d’imagerie thoracique émettent des recommandations, dans un article publié dans la Revue European Radiology, pour différentier les prises en charge. Ce document met l’...
22/12/2025 -


Des chercheurs canadiens ont présenté, lors du congrès RSNA 2025, une étude décrivant la relation entre une exposition prolongée aux polluants atmosphériques courants avec l’apparition d’une maladie coronarienne plus avancée. Cette vaste étude menée auprès de plus de 11 000 adultes a mis en lumière...
17/12/2025 -


Dans notre série dédiée aux acteurs français de la recherche fondamentale appliquée à la médecine, nous mettons en avant aujourd’hui un ingénieur en mécanique, Stéphane Avril, qui s’est orienté vers l’étude des tissus biologiques pour. En croisant la modélisation numérique et l’imagerie médicale, il...
08/12/2025 -
Ne manquez aucune actualité en imagerie médicale et radiologie !
Inscrivez-vous à notre lettre d’information hebdomadaire pour recevoir les dernières actualités, agendas de congrès, et restez informé des avancées et innovations dans le domaine.