
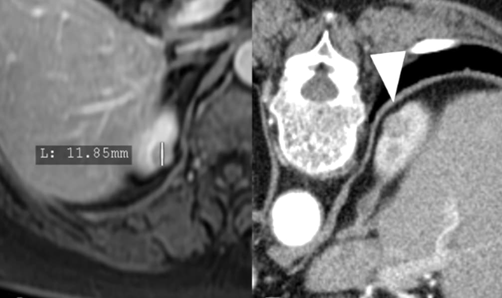
Les techniques percutanées d’ablation percutanée, thermique ou radiothérapeutique, de tumeurs rénales gagnent du terrain mais les recommandations varient selon les régions. Un article publié dans la Revue European Radiology fait une synthèse des recommandations à travers le monde. Et celles-ci ne sont pas homogènes, la chirurgie étant plutôt préconisée en Europe alors que l’ablation percutanée se généralise aux USA.
Cet article est réservé aux abonnés. Abonnez-vous pour lire la suite.
En vous abonnant à Thema Radiologie, vous débloquez l’accès à l’ensemble de nos contenus premium : dossiers thématiques, tribunes d’experts, analyses technologiques, interviews et décryptages réglementaires.
Profitez de 15 jours d'essai gratuit pour découvrir tous nos contenus premium !
Déjà abonné ? Connectez-vous pour débloquer cet article.


L’IVUS est une technologie réputée pour améliorer la qualité d’une angioplastie coronaire gauche. L’essai OPTIMAL, qui fait l’objet d’un article sur la plateforme PCR Online, offre une comparaison des procédures d’angioplastie guidées par IVUS ou par angiographie. Il objective des procédures IVUS ju...
08/04/2026 -

Entre le 17 et le 19 Mars 2026, une équipe de radiologues interventionnels et de scientifiques du CNES ont expérimenté une procédure de radiologie interventionnelle en micro-apesanteur. Cette session entre dans le cadre du projet IRIS en vue du vol habité SpaceshipFR.
20/03/2026 -


Une vaste étude danoise montre qu’une procédure mini-invasive d’ablation est aussi efficace que la chirurgie pour traiter les petits cancers du rein, avec une récupération plus rapide et moins de complications. Les résultats de l’étude ont été publiés récemment dans la Revue Radiology.
04/03/2026 -

En lançant la première étude FIH centrée sur son nouveau système d’angioplastie coronaire robotisée, Robocath affiche ses ambitions pour améliorer les pratiques des professionnels du cathlab.
23/02/2026 -


Quelle stratégie adopter pour une revascularisation de l’artère rénale en cas d’hypertension ? Une étude chinoise publiée dans l’European Heart Journal incite à baser la réflexion thérapeutique sur les résultats de la FFR. Les chercheurs ont proposé des critères d’évaluation précis qui montrent que...
16/02/2026 -


Dans les cas d’hématomes sous-duraux, définir des critères quantitatifs d’évaluation de l’embolisation de l’artère méningée moyenne permet de mieux évaluer les effets du traitement. Une étude publiée dans la Revue Radiology évalue les traitements chirurgicaux accompagnés, ou pas, de l’embolisation d...
06/02/2026 -

Cathpax, filiale de la société française Lemer Pax, lance son nouveau système Nova-X, système de radioprotection collective et intégrale qui permet de diviser par 11 la dose reçue par l’opérateur en neuroradiologie interventionnelle.
27/01/2026 -
Ne manquez aucune actualité en imagerie médicale et radiologie !
Inscrivez-vous à notre lettre d’information hebdomadaire pour recevoir les dernières actualités, agendas de congrès, et restez informé des avancées et innovations dans le domaine.