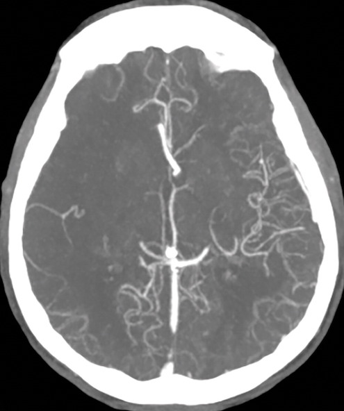
Une étude publiée dans l’American Journal of Roentgenology (AJR) a répertorié les évolutions chronologiques relatives à l'utilisation de la neuro-imagerie dans les cas d’urgences. Les chercheurs ont identifié une augmentation significative des explorations entre 2007 et 2017.
Une équipe américaine a cherché à connaître le degré d’augmentation de l’utilisation de la neuro-imagerie dans un passé récent. Ils ont ainsi identifié, dans une étude publiée dans l'American Journal of Roentgenology (AJR), une croissance importante de 2007 à 2017, la croissance de l'angioscanner cérébral et du cou dépassant les autres modalités. Mais c’est encore la tomodensitométrie crânienne non injectée qui reste le principal examen de neuro-imagerie en urgence.
« La croissance rapide de l’angioscanner de la tête et du cou observée dans la frange de population américaine assurée par le Medicare payant est également identifiée dans les autres franges de la population », remarque l'auteur principal de l’étude, le Dr Selin Merdan du department of industrial and systems engineering at the Georgia Institute of Technology à Atlanta.
Le Dr Merdan et ses collègues ont ainsi évalué l'utilisation annuelle de la TDM cérébrale, de l'IRM cérébrale, de l’angioscanner de la tête et du cou, de l'angio-IRM de la tête et du cou, ainsi que les actes d’échographie carotidienne à partir de déclarations anonymisées fournies par le Clinformatics Data Mart (Optum) pour 2007 –2017. Les taux d'utilisation ont été ajustés en utilisant les proportions relatives annuelles des groupes d'âge et classés en fonction des données démographiques des patients, du type de payeur et de l'état du prestataire.

Au cours de cette période, l’étude montre que les taux d'utilisation de la neuroimagerie aux urgences pour 1 000 visites aux urgences, ajustés en fonction de l'âge, ont augmenté de 72 % au total. Plus précisément, l'utilisation de la TDM cérébrale et de la TDM de la tête et du cou a continuellement augmenté de 48 % et de 1 011 % chez les personnes âgées de 65 ans ou plus, dépassant de loin celle des autres modalités de neuro-imagerie.
"La pertinence de cette croissance doit être surveillée à mesure que les indications de l’angioscanner se développent et que davantage de découvertes fortuites sont mises à jour", avertissent les auteurs de cet article.


La sclérose en plaque fait l’objet de différentes formes d’apparition. Un diagnostic clinique, biologique et radiologique est établi à partir des critères de McDonald. Une revue de la mise à jour de ces critères vient d’être publiée dans l’American Journal of Roentgenology (AJR).
22/04/2026 -


Dans un vaste échantillon de membres des forces d'opérations spéciales américaines (SOF), des chercheurs ont constaté qu'une prévalence plus élevée d'anévrismes intracrâniens était associée, de manière indépendante, à une exposition répétée plus importante aux explosions. Une étude publiée dans la r...
15/04/2026 -


L’échographie doppler transcrânienne est aussi très pertinente sans mode B, en aveugle, pour explorer l’hémodynamique cérébrale. Un article publié dans la Revue RadioGraphics décrit une technologie, autrefois dédiée à la pédiatrie, qui a des indications pour l’exploration des adultes. Il propose une...
25/03/2026 -


L’IRM et le TEP au FDG sont aujourd’hui à la pointe de l’imagerie pour explorer les troubles neurodégénératifs. Un article publié dans la Revue European Radiology décrit des diagnostics souvent liés à la présence d’amyloïde intracérébrale. La maladie d’Alzheimer, souvent indétectable à un stade préc...
17/03/2026 -


L’IRM black blood est recommandée pour mieux identifier les métastases cérébrales, en coupes fines pour ne pas passer à côté des petites lésions. Le traitement d’images aidé par le deep learning permettant d’augmenter le rapport signal/bruit dans ce cas, une étude évalue la qualité globale des image...
11/03/2026 -


La Revue Radiology présente une iconographie radiologique des répercussions cérébrales de la prise régulière de substances psychoactives. Un article qui s’adresse plus particulièrement aux radiologues qui exercent aux urgences.
09/02/2026 -


La conjoncture démographique du secteur fait craindre une surutilisation de la neuroradiologie en périodes de garde. Ce secteur, qui semble peu impacté par la hausse du nombre d’examens négatifs, fait l’objet d’une charge de travail en hausse de 130% en TDM neuroradiologique d'urgence, selon une étu...
15/01/2026 -
Ne manquez aucune actualité en imagerie médicale et radiologie !
Inscrivez-vous à notre lettre d’information hebdomadaire pour recevoir les dernières actualités, agendas de congrès, et restez informé des avancées et innovations dans le domaine.