Pour évaluer l’efficacité du traitement du CHC par radiofréquence, des chercheurs de l’Université d’Innsbruck ont utilisé la marge ablative minimale comme indicateur. Dans un article paru dans la Revue European Radiology, ils expliquent comment la fusion d’images tomodensitométriques leur permet d’arriver à leurs fins.
L'ablation par radiofréquence (ARF) de petites lésions de carcinome hépatocellulaire (CHC) est devenue un traitement traitement curatif de première intention, équivalente à la résection chirurgicale pour les tumeurs uniques, selon la directive 2018 de l'American Association for the Study of Liver Diseases (AASLD).
Déterminer des critères de succès de la radiofréquence pour l’ablation d’un CHC
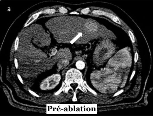
Mais si l’efficacité du traitement est tout de suite évaluable à l’anapath pour la chirurgie, elle fait défaut pour l’ARF, comme pour la radiothérapie d’ailleurs. Dans ce cadre, seule l'absence de tumeur résiduelle sur l'imagerie tomodensitométrique de suivi à 1 mois ou l'absence de progression tumorale locale dans le suivi ultérieur n’est possible. Mais on sait que la marge de sécurité post-ablation, dite marge ablative minimale (MAM), est un déterminant essentiel du succès de la chirurgie. Dans plusieurs études, une MAM inférieure à 5 mm a été associée à des taux plus élevés de récidive. Dans une étude publiée dans la Revue European Radiology, des chercheurs de l’Unité de radiologie et d’imagerie interventionnelle de la Medical University d’Innsbruck (Autriche)postulent que l'évaluation de la MAM peut être utilisée comme un outil intraprocédural pour évaluer le succès du traitement de l’ARF stéréotaxique.
Une marge ablative minimale obtenue par fusion d’images tomodensitométriques
Ils utilisent pour cela la fusion d'images tomodensitométriques intraprocédurales injectées par produit de contraste, pré et post-ablation, ainsi que pour prédire la récidive locale. Ils se proposent également de déterminer un MAM avec lequel une ARF peut être considérée comme réussie et peut donc être utilisée comme un outil intraprocédural pour évaluer le succès du traitement. Les chercheurs ont réuni un total de 110 patients (20 femmes, 90 hommes) présentant 176 carcinomes hépatocellulaires de manière rétrospective. La MAM a été déterminée par fusion d'images intraprocédurales pré et post-ablation en utilisant un logiciel d'enregistrement d'imagerie rigide disponible dans le commerce. La récidive a été évaluée par tomodensitométrie ou IRM injectées à intervalles de 3 à 6 mois.
La marge minimale ablative confirme son potentiel prédicteur de récidive
À l’issue de leurs travaux, les chercheurs ont objectivé que la MAM était le seul prédicteur indépendant significatif de récidive. Pour chaque augmentation millimétrique de la MAM, une réduction de 30% du risque relatif a été identifiée. Aucune récidive n'a par ailleurs été détectée dans les lésions présentant une MAM supérieure à 5mm. Le taux global de récidive a atteint 8,2% (9 sur 110) au niveau du patient et 5,7% (10 sur 173) au niveau de la lésion, avec une MAM médiane de 3,4mm. La période de suivi globale moyenne était de 26,0 ± 10,3 mois.
Ils en ont donc conclu que l’évaluation immédiate de la marge ablative minimale (MAM) peut être utilisée comme un outil intraprocédural de l’ablation de CHC par radiofréquence pour évaluer le succès de ce traitement, avec une MAM supérieure à 5mm considérer une ablation comme réussie.


Se servir de la radiomique pour prédire la classification de Lauren pré-opératoire du cancer gastrique à partir d’images de tomodensitométrie est pertinent mais chronophage. Un modèle d’autosegmentation a été testé dans une étude récente publiée dans la Revue European Radiology et a obtenu des résul...
30/12/2025 -


Un nombre significatif de néoplasies gastriques passent inaperçues lors des examens TDM de routine, pour lesquels la segmentation par IA pourrait servir de second lecteur. Des chercheurs chinois ont décrit, dans la Revue Radiology, une approche dédiée basée sur le deep learning qu’ils ont développée...
26/12/2025 -


L’IRM haut champ pourrait potentiellement servir à l’exploration de la fibrose hépatique ex vivo. Une étude française publiée dans la Revue European Radiology compare un échantillon hépatique étudié par histopathologie et par IRM 7T. Les résultats sont jugés comparables et montrent la pertinence de...
12/12/2025 -


Les techniques d’acquisition IRM abdominale évoluent significativement pour éviter de sédater les enfants. Une étude allemande publiée dans la Revue European Radiology compare des séquences T1w radiales dynamiques en respiration libre à un protocole conventionnel dynamique avec injection. Cette tech...
10/12/2025 -


Grâce à un modèle de deep learning qui identifie un indice de volume surrénalien en tomodensitométrie, des chercheurs ont identifié un biomarqueur inédit du stress chronique. Ils présenteront leur étude lors du congrès annuel de la Radiological Society of North America (RSNA).
28/11/2025 -


L’IRM haut champ deviendrait-elle une alternative à l’anapath extemporanée des biopsies hépatiques ex-vivo ? Une étude publiée dans la Revue European Radiology Experimental semble le confirmer, qui compare des échantillons examinés par examen anatomopathologique et par IRM. Ils ont observé des carac...
28/11/2025 -


La fraction de densité de proton par IRM est reconnue comme un outil d’évaluation de référence pour quantifier la graisse hépatique. Un travail de recherche publié dans la Revue Radiology évalue la gravité de la stéatose aux moyens de cette pratique. Cet outil IRM est validé par les chercheurs pour...
31/10/2025 -
Ne manquez aucune actualité en imagerie médicale et radiologie !
Inscrivez-vous à notre lettre d’information hebdomadaire pour recevoir les dernières actualités, agendas de congrès, et restez informé des avancées et innovations dans le domaine.