
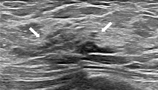
Les lésions nodulaires malignes mammaires sont jugées comme difficilement standardisées dans BI-RADS. Une étude coréenne publiée dans la Revue Radiology tente de faire une comparaison avec les lésions non tumorales et observe une bonne concordance inter-observateurs pour le classement en lésions neuromusculaires, tandis que des classifications différentes sont proposées selon les comparaisons avec la mammographie ou l’IRM.
Cet article est réservé aux abonnés. Abonnez-vous pour lire la suite.
En vous abonnant à Thema Radiologie, vous débloquez l’accès à l’ensemble de nos contenus premium : dossiers thématiques, tribunes d’experts, analyses technologiques, interviews et décryptages réglementaires.
Profitez de 15 jours d'essai gratuit pour découvrir tous nos contenus premium !
Déjà abonné ? Connectez-vous pour débloquer cet article.

L’European Society of Radiology (ESR) vient de lancer une nouvelle revue de sur-spécialité, European Radiology Breast, une revue en libre accès publiée par Springer, partenaire historique de l'ESR.
18/03/2026 -


L’échographie de contraste est pertinente pour différentier les tumeurs ovariennes bénignes et malignes. C’est ce que cherche à prouver une étude, publiée dans l’American Journal of Roentgenology (AJR) qui classe les lésions selon les critères O-RADS et des scores CEUS. Cette approche pourrait cont...
20/02/2026 -


La Revue RadioGraphics propose un recueil radiographique de la physiologie de la grossesse et du post-partum, ainsi que de leurs variantes pathologiques. Cet article recommande notamment de ne pas confondre vascularisation myométriale accrue et malformation artério-veineuse au cours de cette transfo...
10/02/2026 -


La Cour des comptes confirme, dans un rapport récent, le taux de participation au dépistage organisé du cancer du sein inférieur à 50%. Elle observe notamment des dépenses de soins qui augmentent plus que le nombre de patientes traitées, ainsi qu’un suivi post-thérapeutique insuffisant par manque de...
02/02/2026 -


La qualité du traitement chirurgical du cancer du sein est conditionnée par l’obtention d’une résection avec marges négatives. Pour évaluer précisément ces marges, l’imagerie thermique peropératoire a un fort potentiel. Un prototype de caméra thermique a été expérimenté pour prédire les résections à...
19/01/2026 -


Un article récent publié dans la Revue RadioGraphics nous propose une revue de l’ensemble des indications d’IRM pelvienne gynécologique. Ce document décrit l’arsenal complet de séquences en T1, T2 et diffusion à utiliser, promeut une approche systématique et progressive de l’évaluation des lésions e...
12/01/2026 -


Un modèle d'IA basé uniquement sur l'analyse d'images pour prédire le risque de cancer du sein à cinq ans offre une stratification du risque plus robuste que l'évaluation de la densité mammaire seule. Des chercheuses ont présenté ce modèle, capable d’identifier les changements dans le tissu mammaire...
04/12/2025 -
Ne manquez aucune actualité en imagerie médicale et radiologie !
Inscrivez-vous à notre lettre d’information hebdomadaire pour recevoir les dernières actualités, agendas de congrès, et restez informé des avancées et innovations dans le domaine.