
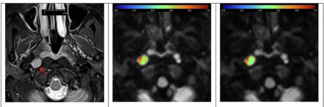
Distinguer les ganglions lymphatiques cervicaux bénins et métastatiques par IRM conventionnelle n’est pas facile. Une étude publiée dans la Revue European Radiology tente de différentier les ganglions lymphatiques bénins et métastatiques en combinant de nouveaux modèles d’IRM de diffusion et leurs caractéristiques morphologiques. Certains nouveaux modèles donnent des résultats convaincants.
Cet article est réservé aux abonnés. Abonnez-vous pour lire la suite.
En vous abonnant à Thema Radiologie, vous débloquez l’accès à l’ensemble de nos contenus premium : dossiers thématiques, tribunes d’experts, analyses technologiques, interviews et décryptages réglementaires.
Profitez de 15 jours d'essai gratuit pour découvrir tous nos contenus premium !
Déjà abonné ? Connectez-vous pour débloquer cet article.

La société parisienne PAIRE, acteur innovant de l’intelligence artificielle en médecine nucléaire, annonce l’intégration de son assistant IA Pionus dans les principaux logiciels d’interprétation utilisés par les médecins nucléaires.
10/09/2025 -
Telix a annoncé, le 30 Avril 2025, l’autorisation de mise sur le marché (AMM) en France de son agent d’imagerie TEP pour le cancer de la prostate, Illuccix® (kit pour la préparation d'une injection de gozetotide gallium-68).
06/05/2025 -


Le traitement du cancer métastatique de la prostate se fait désormais par injection intraveineuse de 177Lu-PSMA. Il s’agit d’une avancée majeure contre ce cancer de la prostate métastatique, selon une cure intraveineuse toutes les six semaines avec un suivi spécifique indispensable et avec une émiss...
27/11/2024 -

Dans le cadre du centenaire de la Radiological Society of North America (RSNA), deux éditoriaux ont été rédigés par des sommités internationales qui décrivent ce que peut être l’avenir de la radiologie. Pour le Pr Umar Mahmood, grâce à la capacité de caractériser la maladie de manière non invasive à...
20/12/2023 -

Une étude récente publiée dans l'American Journal of Roentgenology (AJR), se propose de comparer les résultats diagnostiques d'une biopsie prostatique guidée à une prostatectomie radicale. Les chercheurs n’ont pas trouvé de différences significatives les examens IRM interprétés cliniquement à l'aide...
26/09/2023 -
La sélection des lésions tumorales osseuses sclérotiques à biopsier sous tomodensitométrie est assez complexe dans le cadre de l’oncologie personnalisée. Une étude publiée dans l’European Journal of Radiology propose des pistes d’optimisation de cette procédure pour aboutir à des résultats pertinent...
19/10/2022 -
Selon une étude publiée dans l'American Journal of Roentgenology (AJR), l’imagerie moléculaire du sein peut aider à évaluer le degré de malignité d’une lésion mammaire. Les chercheurs suggèrent d’intégrer dans le référentiel BI-RADS ces nouvelles données.
10/08/2022 -
Ne manquez aucune actualité en imagerie médicale et radiologie !
Inscrivez-vous à notre lettre d’information hebdomadaire pour recevoir les dernières actualités, agendas de congrès, et restez informé des avancées et innovations dans le domaine.