Le stand GE Healthcare au RSNA a une nouvelle fois montré toute l'étendue de sa gamme, renforcée par des technologies innovantes d'intelligence artificielle notamment. Mais ce sont l'IRM SIGNA Premier et le sénographe Pristina Dueta qui ont retenu l'attention
À l'occasion du RSNA 2017, GE Healthcare a conforté sa position de principal fournisseur de solutions d'imagerie axées sur les résultats en introduisant de nouvelles technologies, services et solutions numériques pour améliorer l'expérience des patients, et augmenter la productivité.
Au cœur de cette approche se trouve l'Applied intelligence de GE, le cerveau d'analyse et d'intelligence artificielle qui alimente ses principales applications, dispositifs et services. Il devient le fil conducteur entre les machines et les logiciels afin d'aider les organisations à exploiter pleinement leur potentiel.
Une modalité IRM à large alésage 3T disponible aux USA
En IRM, la nouvelle suite de bobines RF de GE Healthcare, AIR Technology, présentée au RSNA, est maintenant disponible sur SIGNA Premier. Cette technologie plus souple d'utilisation et de conception ultra-légère facilite le positionnement du patient par le manipulateur. L'antenne corps entier ressemble à une couverture et s'adapte à 99,9% des patients, avec un nombre de canaux plus élevé pour un rapport signal / bruit amélioré. Le système d'IRM SIGNA Premier à large alésage 3.0T, maintenant disponible dans le commerce aux États-Unis, est équipé du dernier aimant supraconducteur 3.0T de GE Healthcare à court-alésage et haute homogénéité. Il permet une imagerie du corps entier 2 fois plus rapide par rapport aux IRM conventionnels.
Un sénographe permettant à la patiente de gérer sa compression
Le Senographe Pristina Dueta, quant à lui, permet aux femmes de maîtriser leurs propres mammographies par une télécommande sans fil innovante pour la gestion de leur propre compression, sous la supervision d'un manipulateur. Des études menées en Europe montrent que 4 patients sur 5 utilisant Pristina Dueta ont déclaré que l'examen était plus confortable, et plus de la moitié d'entre eux ont déclaré que l'appareil entraînait moins d'anxiété. De plus, dans l'xploration des seins denses, l'échographe Invenia ABUS (Automated Breast Ultrasound System) augmente la détection du cancer invasif de 55%. Il est le seul système à ultrasons approuvé par la FDA pour le dépistage du tissu mammaire dense lorsqu'il est utilisé en plus de la mammographie.


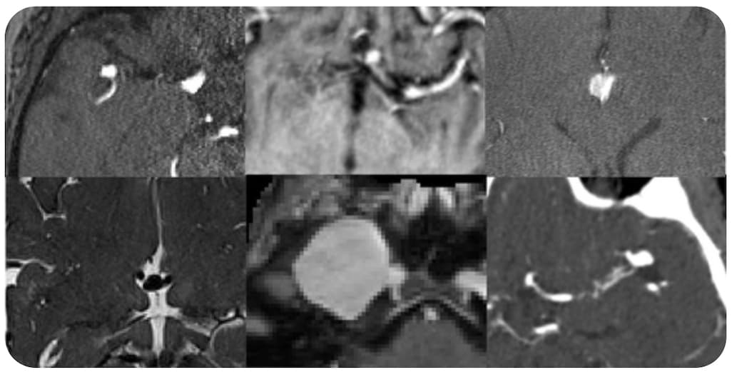
L’IRM black blood est recommandée pour mieux identifier les métastases cérébrales, en coupes fines pour ne pas passer à côté des petites lésions. Le traitement d’images aidé par le deep learning permettant d’augmenter le rapport signal/bruit dans ce cas, une étude évalue la qualité globale des image...
11/03/2026 -


La Revue Radiology présente une iconographie radiologique des répercussions cérébrales de la prise régulière de substances psychoactives. Un article qui s’adresse plus particulièrement aux radiologues qui exercent aux urgences.
09/02/2026 -


La conjoncture démographique du secteur fait craindre une surutilisation de la neuroradiologie en périodes de garde. Ce secteur, qui semble peu impacté par la hausse du nombre d’examens négatifs, fait l’objet d’une charge de travail en hausse de 130% en TDM neuroradiologique d'urgence, selon une étu...
15/01/2026 -


Le Syndrome radiologiquement isolé est le premier signe avant-coureur de la SEP en IRM. Ce syndrome est synthétisé dans les Critères de McDonald, qui a fait l’objet d’une mise à jour en 2004 avec de nouvelles implications cliniques et radiologiques. Un article publié dans l’American Journal of Roent...
26/12/2025 -

La Radiological Society of North America (RSNA) a annoncé, en amont de son congrès annuel, les résultats du Challenge AI 2025 de la RSNA sur la détection des anévrismes intracrâniens.
15/12/2025 -


Des chercheurs ont présenté, à l’occasion du congrès de la RSNA 2025, la première étude évaluant l'impact de l'obésité sur les biomarqueurs sanguins de la maladie d'Alzheimer. En utilisant la TEP amyloïde, ils ont confirmé l’augmentation de ces biomarqueurs jusqu'à 95 % plus rapide chez les personne...
11/12/2025 -


En étudiant l'activité cérébrale des supporters de football par IRM fonctionnelle, des chercheurs ont découvert que certaines régions du cerveau s'activaient lors du visionnage de matchs de leur équipe favorite, déclenchant des émotions et des comportements positifs et négatifs. Dans un article publ...
18/11/2025 -
Ne manquez aucune actualité en imagerie médicale et radiologie !
Inscrivez-vous à notre lettre d’information hebdomadaire pour recevoir les dernières actualités, agendas de congrès, et restez informé des avancées et innovations dans le domaine.