
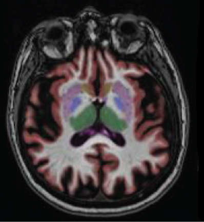
Grâce au logiciel NEUROQUANT, qui est utilisé aujourd'hui au sein du Groupe Clinique du Mail à Grenoble, il est possible, à partir d'une IRM avec post traitement 3D, de quantifier l’atrophie cérébrale. Cette solution fournit de façon précise une foule d'informations contenues dans des rapports détaillant le volume et l'asymétrie relatifs à de nombreuses structures cérébrales.
L’IRM NEUROQUANT est un logiciel de post traitement 3D qui permet une évaluation objective et reproductible des maladies neurodégénératives. Utilisé en routine au sein du Groupe Clinique du Mail, à Grenoble, il donne la possibilité aux radiologues de fournir à leur correspondant une évaluation quantitative du volume des structures cérébrales.
Evaluer l’impact des pathologies neurologiques sur la morphologie du cerveau, sans aucune subjectivité
NEUROQUANT segmente et mesure le volume des hippocampes, des ventricules, des noyaux gris et de nombreuses autres structures cérébrales et compare le volume obtenu à celui d’une population de référence de même âge et de même sexe. Cette information permet une meilleure évaluation de l’impact de pathologies neurodégénératives ou neurologiques sur la morphologie du cerveau.
Comment fonctionne NEUROQUANT ?
Pour le patient, un examen NEUROQUANT est une IRM cérébrale sans injection. L’examen nécessite une immobilité stricte du patient. Elle vient en complément d’un premier bilan visant à éliminer un diagnostic différentiel et est réalisée dans un second temps. Le manipulateur réalisant l’acquisition envoie les données sur un serveur sécurisé où NEUROQUANT identifie et segmente automatiquement les différentes structures cérébrales. Les valeurs de volume obtenues, par structure, sont comparées à une base de données de référence standardisée pour l’âge, le sexe et le volume cérébral. Le logiciel NEUROQUANT fournit plusieurs rapports permettant une évaluation visuelle et quantitative.
Une évaluation longitudinale des résultats de volume est possible avec une représentation graphique prenant en compte les résultats d’examen antérieurs, qui sont rappelés sur le dernier rapport.
Age Related Atrophy Report (atrophie selon l’âge)
Ce rapport fournit le volume de chaque hippocampe, des ventricules latéraux et de leur portion temporale ainsi que le HOC (Hippocampal Occupancy Score) ou score hippocampique. Les résultats sont automatiquement comparés aux valeurs de références établies sur une population de même sexe et même âge. Le score hippocampique HOC est utilisé pour estimer l’atrophie de l’hippocampe en prenant en compte son volume ainsi que l’augmentation de volume de la fissure choroïde et des ventricules latéraux consécutive à la perte de volume.
Hippocampal Volume Asymmetry Report (asymétrie de volume des hippocampes par côté)
Ce rapport présente le volume différencié de chaque hippocampe permettant une étude fiable du degré d'asymétrie, utile dans l'évaluation des épilepsies temporales.
Multi Structure Atrophy Report (volume multi structure - 9)
Ce rapport de 2 pages fournit le volume de 9 structures cérébrales avec représentation graphique de l’évolution en cas d’examens successifs. Sont analysés le volume cérébral global, celui des ventricules latéraux, des thalami, de la substance grise corticale et de la substance blanche, des hypointensités de la substance blanche en T1, du 3ème ventricule, des hippocampes et des cornes temporales des ventricules latéraux. Le suivi des hyposignaux de la substance blanche (black hole) et du volume cérébral, ainsi que des substances grise et blanche à également un intérêt dans le cadre du suivi des atteintes inflammatoires de la substance blanche (SEP).
Triage Brain Atrophy Report (volume multi structure – 39)
Ce rapport fournit le volume de 39 structures cérébrales avec étude de l’asymétrie droite gauche et présentation des résultats selon un classement par lobe et par région. Les résultats sont présentés sous forme de tableau avec écart à la valeur moyenne (Z score) par côté et pourcentage du volume cérébral (ICV)
Brain Development Report
Ce rapport fournit le volume du proencéphale et des ventricules latéraux, et peut être utile pour les patients de 3 ans et plus.


La sclérose en plaque fait l’objet de différentes formes d’apparition. Un diagnostic clinique, biologique et radiologique est établi à partir des critères de McDonald. Une revue de la mise à jour de ces critères vient d’être publiée dans l’American Journal of Roentgenology (AJR).
22/04/2026 -


Dans un vaste échantillon de membres des forces d'opérations spéciales américaines (SOF), des chercheurs ont constaté qu'une prévalence plus élevée d'anévrismes intracrâniens était associée, de manière indépendante, à une exposition répétée plus importante aux explosions. Une étude publiée dans la r...
15/04/2026 -


L’échographie doppler transcrânienne est aussi très pertinente sans mode B, en aveugle, pour explorer l’hémodynamique cérébrale. Un article publié dans la Revue RadioGraphics décrit une technologie, autrefois dédiée à la pédiatrie, qui a des indications pour l’exploration des adultes. Il propose une...
25/03/2026 -


L’IRM et le TEP au FDG sont aujourd’hui à la pointe de l’imagerie pour explorer les troubles neurodégénératifs. Un article publié dans la Revue European Radiology décrit des diagnostics souvent liés à la présence d’amyloïde intracérébrale. La maladie d’Alzheimer, souvent indétectable à un stade préc...
17/03/2026 -


L’IRM black blood est recommandée pour mieux identifier les métastases cérébrales, en coupes fines pour ne pas passer à côté des petites lésions. Le traitement d’images aidé par le deep learning permettant d’augmenter le rapport signal/bruit dans ce cas, une étude évalue la qualité globale des image...
11/03/2026 -


La Revue Radiology présente une iconographie radiologique des répercussions cérébrales de la prise régulière de substances psychoactives. Un article qui s’adresse plus particulièrement aux radiologues qui exercent aux urgences.
09/02/2026 -


La conjoncture démographique du secteur fait craindre une surutilisation de la neuroradiologie en périodes de garde. Ce secteur, qui semble peu impacté par la hausse du nombre d’examens négatifs, fait l’objet d’une charge de travail en hausse de 130% en TDM neuroradiologique d'urgence, selon une étu...
15/01/2026 -
Ne manquez aucune actualité en imagerie médicale et radiologie !
Inscrivez-vous à notre lettre d’information hebdomadaire pour recevoir les dernières actualités, agendas de congrès, et restez informé des avancées et innovations dans le domaine.