
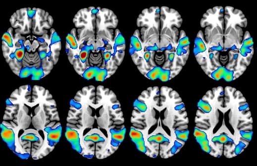
En étudiant l'activité cérébrale des supporters de football par IRM fonctionnelle, des chercheurs ont découvert que certaines régions du cerveau s'activaient lors du visionnage de matchs de leur équipe favorite, déclenchant des émotions et des comportements positifs et négatifs. Dans un article publié dans la Revue Radiology, ils suggèrent que ces schémas pourraient également s'appliquer à d'autres formes de fanatisme et que la prévention doit s’appliquer dès le plus jeune âge.
Cet article est réservé aux abonnés. Abonnez-vous pour lire la suite.
En vous abonnant à Thema Radiologie, vous débloquez l’accès à l’ensemble de nos contenus premium : dossiers thématiques, tribunes d’experts, analyses technologiques, interviews et décryptages réglementaires.
Profitez de 15 jours d'essai gratuit pour découvrir tous nos contenus premium !
Déjà abonné ? Connectez-vous pour débloquer cet article.


Dans un vaste échantillon de membres des forces d'opérations spéciales américaines (SOF), des chercheurs ont constaté qu'une prévalence plus élevée d'anévrismes intracrâniens était associée, de manière indépendante, à une exposition répétée plus importante aux explosions. Une étude publiée dans la r...
15/04/2026 -


L’échographie doppler transcrânienne est aussi très pertinente sans mode B, en aveugle, pour explorer l’hémodynamique cérébrale. Un article publié dans la Revue RadioGraphics décrit une technologie, autrefois dédiée à la pédiatrie, qui a des indications pour l’exploration des adultes. Il propose une...
25/03/2026 -


L’IRM et le TEP au FDG sont aujourd’hui à la pointe de l’imagerie pour explorer les troubles neurodégénératifs. Un article publié dans la Revue European Radiology décrit des diagnostics souvent liés à la présence d’amyloïde intracérébrale. La maladie d’Alzheimer, souvent indétectable à un stade préc...
17/03/2026 -


L’IRM black blood est recommandée pour mieux identifier les métastases cérébrales, en coupes fines pour ne pas passer à côté des petites lésions. Le traitement d’images aidé par le deep learning permettant d’augmenter le rapport signal/bruit dans ce cas, une étude évalue la qualité globale des image...
11/03/2026 -


La Revue Radiology présente une iconographie radiologique des répercussions cérébrales de la prise régulière de substances psychoactives. Un article qui s’adresse plus particulièrement aux radiologues qui exercent aux urgences.
09/02/2026 -


La conjoncture démographique du secteur fait craindre une surutilisation de la neuroradiologie en périodes de garde. Ce secteur, qui semble peu impacté par la hausse du nombre d’examens négatifs, fait l’objet d’une charge de travail en hausse de 130% en TDM neuroradiologique d'urgence, selon une étu...
15/01/2026 -


Le Syndrome radiologiquement isolé est le premier signe avant-coureur de la SEP en IRM. Ce syndrome est synthétisé dans les Critères de McDonald, qui a fait l’objet d’une mise à jour en 2004 avec de nouvelles implications cliniques et radiologiques. Un article publié dans l’American Journal of Roent...
26/12/2025 -
Ne manquez aucune actualité en imagerie médicale et radiologie !
Inscrivez-vous à notre lettre d’information hebdomadaire pour recevoir les dernières actualités, agendas de congrès, et restez informé des avancées et innovations dans le domaine.