Lors du 124e congrès annuel de l'American Roentgen Ray Society (ARRS), un poster relatif à l’IRM de l’épaule a été primé. Ce travail a mis en lumière la prévalence du muscle sous-glénoïde accessoire chez les patients présentant une infiltration graisseuse du teres minor, avec, souvent, une neuropathie associée.
Un poster primé Magna à l’occasion du 124e congrès annuel de ARRS, qui s'est tenu du 5 au 9 mai 2024 à Boston (Massachussets - USA), a montré une prévalence élevée (89 %) du muscle sous-glénoïde accessoire (AIGM) chez les patients présentant une infiltration graisseuse du teres minor (TMFI), par rapport à ceux qui n'en ont pas (30 %).
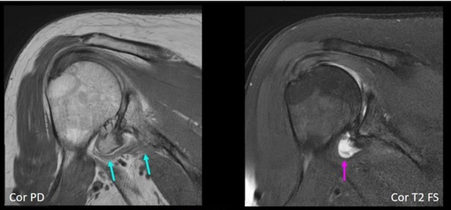
Comparaison entre 100 patients présentant un TMFI et un groupe témoin
« Ces résultats soulignent l'importance de rechercher l'AIGM dans le cadre d'un TMFI, car le TMFI sur l'IRM préopératoire a été associé à de mauvais résultats postchirurgicaux, précise le Dr Jennifer Padwal, du Stanford University Medical Center (Californie – USA). Et la présence d'AIGM sur l'IRM de l'épaule pourrait éliminer le besoin d'imagerie supplémentaire pour évaluer la cause du TMFI. »
L’exploration de toutes les IRM de son institution a révélé au Dr Padwal et ses collègues la présence d’un TMFI documenté chez 100 patients (76 hommes, 24 femmes ; âge moyen, 58,6 ans). A titre de comparaison, un échantillon respectif de 100 IRM d'épaule chez des patients sans TMFI (53 hommes, 47 femmes ; âge moyen 56,4 ans) a été obtenu. Tous les examens ont été évalués par consensus par deux radiologues (un spécialiste musculo-squelettique avec 25 ans d'expérience, ainsi qu'un résident en radiologie de 4e année) pour un AIGM avec confiance diagnostique, notant l'origine et l'insertion musculaires.
Une pathologie provoquant souvent une atteinte du nerf axillaire
De plus, au sein de la cohorte TMFI, de nombreux AIGM se placent en regard du nerf axillaire avec une neuropathie axillaire concomitante. Chez les patients atteints de TMFI en effet, la distance entre l'AIGM et le nerf axillaire a été mesurée, documentant tout signal nerveux axillaire anormal. Le TMFI a ensuite été classé selon la classification de Goutallier, tandis que la présence d'une atrophie et/ou d'un œdème a été notée.
Le poster du Dr Padwak a mis en lumière un TMFI de grade 1 chez 33 % des patients, de grade 2 chez 32 %, de grade 3 chez 13 % et de grade 4 chez 14 %, avec un œdème intramusculaire chez 33 patients et une atrophie chez 21 patients.
L'AIGM a été observé chez 89/100 patients atteints de TMFI ; 30/100 chez les patients sans TMFI. Dans tous les cas, l’AIGM provenait du col glénoïde inférieur et était inséré sur le col huméral/diaphyse humérale proximale. La marge inférieure de l'AIGM chez les patients atteints de TMFI touchait le nerf axillaire chez 39 patients (46 %), avec un signal anormal chez 23 d’entre eux (27 %).


La tomodensitométrie est la technologie de base pour déterminer l’histologie tumorale du sacrum. Une étude publiée dans la Revue Radiology expérimente un modèle d’IA de segmentation des tumeurs sacrées aux moyens d’un modèle hybride intégrant deux réseaux de neurones. Cet outil semble pertinent pour...
14/01/2026 -


Pour étudier le cartilage articulaire du genou par IRM, le MR Fingerprinting se montre plus rapide, précis et robuste que les séquences d’IRM classique. Une étude publiée dans la Revue European Radiology valide la cartographie T2 par MRF comme précise et reproductible dans ce contexte, un modèle d’I...
29/12/2025 -


La tomodensitométrie quantitative serait une bonne alternative à l’ostéodensitométrie pour le dépistage de la fracture par déminéralisation osseuse. Pour gagner en précision dans l’évaluation de la DMO par TDM, une étude introduit le deep learning afin de définir une norme d’atténuation trabéculaire...
12/11/2025 -


La computer vision a un bon potentiel pour identifier des personnes inconnues explorées en situation d’urgence. Une étude publiée dans la Revue European Radiology évalue l’efficacité du MIP par TDM thoracique pour que la computer vision puisse identifier des patients. Cette méthode est applicable à...
03/10/2025 -


Selon une étude publiée dans l’American Journal of Roentgenology (AJR), l'IRM permet de diagnostiquer avec fiabilité les déchirures radiales obliques du ménisque latéral. Elle montre une sensibilité et une spécificité suffisantes pour identifier ce type de déchirure bio mécaniquement important assoc...
30/09/2025 -


En traumatologie pédiatrique, les solutions d’IA ne pas toujours pertinentes pour assister les praticiens qui cherchent à identifier une anomalie musculo-squelettique. Des chercheurs allemands ont publié un article dans la Revue European Radiology dans lequel ils évaluent les performances d’un algor...
30/09/2025 -


Pour améliorer le diagnostic de fracture en radiographie conventionnelle assisté par l’IA, celle-ci doit être entrainée sur des cohortes hétérogènes. Une étude publiée dans la Revue European Radiology évalue un outil d’IA conçu en inde pour l’aide à l’interprétation de patients néerlandais. Les cher...
05/09/2025 -
Ne manquez aucune actualité en imagerie médicale et radiologie !
Inscrivez-vous à notre lettre d’information hebdomadaire pour recevoir les dernières actualités, agendas de congrès, et restez informé des avancées et innovations dans le domaine.