La Revue Radiology rapporte le cas d’un enfant présentant une artériopathie focale cérébrale identifiée en IRM. La découverte d’une infection au COVID-19 a amené les chercheurs à imputer cet AVC au virus.
Dans un article publié dans la Revue Radiology, une équipe de chercheurs iraniens décrit le cas d’un garçon de 12 ans, auparavant en bonne santé, sujet à des crises généralisées, initialement traitées par le diazépam.
Un cas de troubles cérébraux aigus chez un enfant diagnostiqué COVID+
Peu de temps après cet épisode, il a développé une hémiparésie du côté droit et une dysarthrie. Il n'y avait aucun antécédent de fièvre, de toux, d'essoufflement, d'éruption cutanée, d'hémoglobinopathie ou de traumatisme récent. Alors qu’aucun membre de sa famille n'avait d'antécédents connus d'infection au COVID-19, le diagnostic d’infection de ce garçon a été posé par la présence d'acide nucléique viral SARS-CoV2 lors d’un test de réaction en chaîne en temps réel de la transcriptase inverse par polymérase inverse (RT-PCR). Le test de la présence d'acide nucléique viral SARS-CoV-2 dans le LCR était également positif.
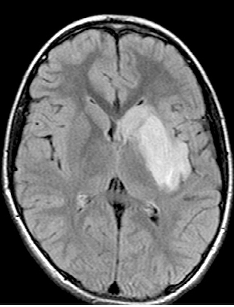
Après différents examens bactériologiques et hématologiques, un scanner pulmonaire low dose ne montre aucun signe pathologique. Au Doppler couleur, les carotides sont normales ainsi que l'échocardiographie. Mais l’IRM cérébrale montre des résultats compatibles avec un infarctus aigu sans microhémorragies, ainsi qu'un rétrécissement irrégulier du segment M1 proximal de l'artère cérébrale moyenne gauche avec un flux distal légèrement réduit.
Des images d’AVC provoquées par une artériopathie focale cérébrale
On distingue également une image hyperdense en T2 FLAIR au niveau des noyaux gris centraux gauches et un infarctus aigu de l'insula. Il existe de nombreuses considérations différentielles potentielles chez un enfant victime d'un AVC aigu, embolique ou thrombotique, la vasculite cérébrale dans le contexte d'une maladie systémique (par exemple pour la maladie de Kawasaki) notamment. Notre principal diagnostic est l’artériopathie focale cérébrale, l'une des causes les plus courantes d'AVC ischémique artériel chez l'enfant, qui est définie comme une "sténose / irrégularité unifocale et unilatérale des grandes artères intracrâniennes de la circulation antérieure".
D’autre part, des études récentes d'une réponse immunitaire élevée et d'un syndrome inflammatoire ont été rapportés chez des enfants infectés par COVID-19, ce qui a amené les chercheurs, en conclusion, à imputer cette pathologie à ce virus.


La sclérose en plaque fait l’objet de différentes formes d’apparition. Un diagnostic clinique, biologique et radiologique est établi à partir des critères de McDonald. Une revue de la mise à jour de ces critères vient d’être publiée dans l’American Journal of Roentgenology (AJR).
22/04/2026 -


Dans un vaste échantillon de membres des forces d'opérations spéciales américaines (SOF), des chercheurs ont constaté qu'une prévalence plus élevée d'anévrismes intracrâniens était associée, de manière indépendante, à une exposition répétée plus importante aux explosions. Une étude publiée dans la r...
15/04/2026 -


L’échographie doppler transcrânienne est aussi très pertinente sans mode B, en aveugle, pour explorer l’hémodynamique cérébrale. Un article publié dans la Revue RadioGraphics décrit une technologie, autrefois dédiée à la pédiatrie, qui a des indications pour l’exploration des adultes. Il propose une...
25/03/2026 -


L’IRM et le TEP au FDG sont aujourd’hui à la pointe de l’imagerie pour explorer les troubles neurodégénératifs. Un article publié dans la Revue European Radiology décrit des diagnostics souvent liés à la présence d’amyloïde intracérébrale. La maladie d’Alzheimer, souvent indétectable à un stade préc...
17/03/2026 -


L’IRM black blood est recommandée pour mieux identifier les métastases cérébrales, en coupes fines pour ne pas passer à côté des petites lésions. Le traitement d’images aidé par le deep learning permettant d’augmenter le rapport signal/bruit dans ce cas, une étude évalue la qualité globale des image...
11/03/2026 -


La Revue Radiology présente une iconographie radiologique des répercussions cérébrales de la prise régulière de substances psychoactives. Un article qui s’adresse plus particulièrement aux radiologues qui exercent aux urgences.
09/02/2026 -


La conjoncture démographique du secteur fait craindre une surutilisation de la neuroradiologie en périodes de garde. Ce secteur, qui semble peu impacté par la hausse du nombre d’examens négatifs, fait l’objet d’une charge de travail en hausse de 130% en TDM neuroradiologique d'urgence, selon une étu...
15/01/2026 -
Ne manquez aucune actualité en imagerie médicale et radiologie !
Inscrivez-vous à notre lettre d’information hebdomadaire pour recevoir les dernières actualités, agendas de congrès, et restez informé des avancées et innovations dans le domaine.